В Клиниках Самарского государственного медицинского университета Минздрава России (СамГМУ) выполнили сложную операцию 67-летней женщине из Пензенской области. Пациентка поступила с диагнозом многоузловой токсический зоб 4-й степени по О.В. Николаеву, которым она страдала почти 20 лет. Заболевание сопровождалось субкомпенсированным тиреотоксикозом, что означало повышенную выработку гормонов щитовидной железы и их токсическое воздействие на организм.
Как пояснил заведующий кафедрой общей хирургии и хирургических болезней СамГМУ, профессор Игорь Макаров, основная угроза для пациентки исходила от влияния болезни на сердце. «Наблюдалось токсическое воздействие на сердечную мышцу, что вызывало мерцательную аритмию и повышение артериального давления. Состояние известно как «тиреотоксическое сердце», которое без лечения неминуемо ведет к сердечной недостаточности», — отметил профессор Макаров.
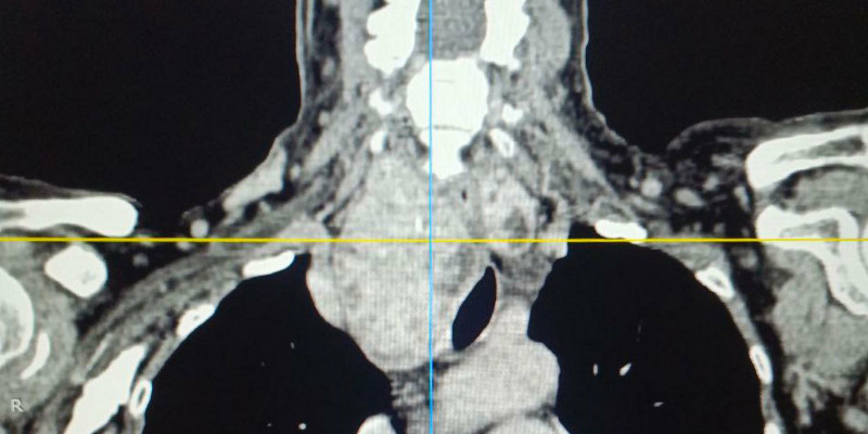
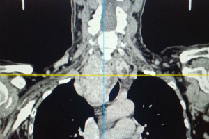
Особую сложность представляло анатомическое расположение зоба. По словам хирурга, расположение зоба было частично загрудинным, образование опускалось за грудину примерно на две трети. А правая доля щитовидной железы подходила вплотную к плечеголовному стволу — крупному артериальному сосуду. Кроме того, зоб циркулярно охватывал трахею, сдавливая ее со всех сторон и вызывая у пациентки затруднение дыхания даже при небольшой физической нагрузке.
«Перед нами стояла серьезная задача: существовал высокий риск повреждения подключичной артерии, позвоночного венозного сплетения или грудного лимфатического протока. Их повреждение могло привести к тяжелым осложнениям», — сообщил Игорь Макаров. Из-за такого расположения железы в ходе операции могла быть выявлена необходимость рассечения грудины для безопасного доступа, что значительно усложнило бы операцию и восстановительный период.
Тем не менее, хирургической команде удалось избежать этой меры. Операция была успешно проведена через шейный доступ с применением нейромониторинга — технологии, позволяющей в режиме реального времени контролировать функцию возвратных гортанных нервов. «С использованием нейромонитора мы смогли выделить нервы, которые были спаяны с железой, аккуратно вывихнуть правую долю и провести удаление органа — тиреоидэктомию, практически без кровопотери», — подчеркнул профессор Макаров.
Операции предшествовало комплексное обследование, включавшее компьютерную и магнитно-резонансную томографию, в результате которых было принято решение о проведении срочного хирургического вмешательства. В настоящий момент состояние пациентки стабилизировалось, она чувствует себя хорошо выписана домой для дальнейшей реабилитации.
«Этот клинический случай — яркий пример того, почему не следует годами мириться с болезнью, — резюмировал Игорь Макаров. — Пациентка мучилась много лет, и за это время заболевание успело вызвать серьезные осложнения со стороны сердечно-сосудистой системы, органов дыхания, что уже приводило к плохому самочувствию и имело грозные последствия. Между тем при своевременном обращении медицина позволяет решить такую проблему с минимальными рисками и более щадящими методами. Не стоит терпеть и чего-то ждать — чем раньше вы обратитесь к специалисту, тем эффективнее будет лечение».
Фото СамГМУ








-0.04
0.22


